Innvadora cirugía de mano por primera vez en el interior del país
Fernando Juarez Cesca, médico especialista en cirugía de mano y miembro superior. Junto a la empresa Magnus realizó una cirugía innovadora a un paciente con artrosis en la base del pulgar derecho de su mano, este implante permite mejor movilidad y recuperación indolora.
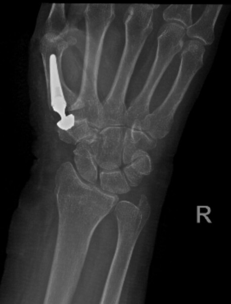
El médico, quien además es miembro Titular de la Asociación Argentina de Cirugía de Mano y Reconstructiva de Miembro Superior, explicó que la paciente se trataba de una mujer de 73 años, con una vida muy activa, que padecía de artrosis en la base del pulgar derecho, muy avanzada y con incapacidad funcional. Por ese motivo se decidió realizar una artroplastia con una prótesis total de la articulación carpo metacarpiana del pulgar ya que la misma le facilita una recuperación fácil, rápida y principalmente pasando el dolor en poco tiempo.
El equipo médico que viene preparando la cirugía hace tiempo, estuvo integrado por el Dr. Juarez Cesca, el Dr Ceferino Castro, la Dra Molina, la instrumentadora Fernanda Suarez, y el técnico especializado, de Magnus, Julio Cáceres.
En la entrevista con el Dr Cesca nos dio detalles del procedimiento y los beneficios del TOUCH Dual Mobility:
¿En qué consistió la cirugía?
Dr. Juarez Cesca: La cirugía básicamente consiste en reemplazar la articulación de la base del pulgar, que es la articulación carpo metacarpiana del pulgar, por una articulación nueva, que sería la prótesis. Para ello, sacamos parte de los huesos y reemplazamos con la prótesis. La prótesis es exactamente lo mismo, como para que se pueda describir, es como una prótesis de cadera pero en el pulgar, hasta la forma es prácticamente la misma, nada más que otro tamaño y va en la base del pulgar.


¿Qué tipo de material se utiliza?
Dr. Juarez Cesca: El material que tiene la prótesis es titanio y tiene un componente de hidroxiapatita que lo fija al hueso, es titano e hidroxiapatita, no lleva cemento para adherirse a la superficie. Todo esto de la hidroxiapatita hace que se vuelva rugosa la estructura, se fije y se asocie al hueso.
¿Las prótesis brindan una solución a diversos problemas de salud?
Dr. Juarez Cesca: Hay que dejar en claro que una prótesis está orientada a suplantar una articulación que no funciona por X motivos y la ventaja de toda prótesis y más que nada para esta patología que es la rizartrosis o artrosis de la base del pulgar logra la movilización temprana. Existen otras cirugías para las artrosis de la base del pulgar pero la recuperación es mucho más larga y dolorosa, sin prótesis. Con la prótesis el paciente al mes ya está usando su mano, en cambio con otro tipo de prácticas con interposición, se les dice, necesita aproximadamente entre 4 y 6 meses de recuperación.
VIDEO DEL PACIENTE DOS SEMANAS DESPUÉS
Por su parte Alejandro Triggiano, presidente de la empresa que provee el Touch Dual Mobility explicó: Magnus es una empresa de venta de implantes, insumos y equipamiento hospitalario, que cuenta con más de 70 años en el mercado. Se encuentra actualmente posicionada con su casa central en Salta, distribuyendo también en Jujuy y Tucumán.
«Somos representantes exclusivos de esta marca y encargados de desarrollarla en el NOA. Estamos muy contentos de ser los primeros en traer esta cirugía a Salta, solo se han practicado 25 cirugías de este tipo en Buenos Aires, pero es la primera que se hace en el interior del país«, dijo.
«Magnus como su logo refleja, es “Innovación médica” “Medical Innovation”, Nuestro objetivo es la continua innovación tecnológica en la región, pero sobre todo en nuestra provincia, porque somos de aquí, de esta manera los profesionales de la salud puedan tener a su alcance la tecnología de vanguardia que se usa a nivel mundial para mejorar la calidad de vida de los pacientes.
Además, Magnus cuenta con el desarrollo de “Programa de ACV” (accidentes cerebro vasculares) en la provincia de Salta, conjuntamente con el Ministerio de Salud de la Provincia, quienes pueden cubrir urgencias a cualquier persona que tenga hoy un episodio grave de ACV en período ventana, es la única empresa en la región equipada para hacer frente dentro de las 6 horas clave para que no le queden secuelas al paciente que llega a una guardia.
«Desde Magnus brindamos tecnología de punta a nivel mundial en equipamiento e implantes de especialidades como neuro, cardio, gastro, trauma, etc. Contamos con stock, personal Operativo y Administrativo capacitado, Técnicos con mucha experiencia que también asesoran a los médicos, instrumentadores y bioingeniero. La página de la Empresa puede recibir consultas directas por WS o mail por inquietudes o pedidos de cotización .


